In vitro fertilization (IVF) in Seattle, WA

IVF was first successfully used in humans in 1977 in England by Drs. Steptoe and Edwards. The scientific importance of this discovery was recently recognized with the awarding of the Nobel Prize in Medicine to Dr. Edwards. To date, millions of babies have been delivered worldwide as a result of this treatment. The procedures to achieve IVF pregnancy have become increasingly simpler, safer, and markedly more successful.

IVF at CCRM Fertility of Seattle: a new standard

At CCRM Fertility of Seattle, we are devoted to providing the best and most current fertility treatments to our patients. Important breakthroughs are carefully evaluated and are incorporated into our practice whenever it is reasonable to do so.

We have adopted a new standard in IVF: Routine day 5/7 preimplantation genetic testing for aneuploidies (PGT-A), a freeze-all vitrification protocol, and single embryo transfer (SET). Adopting these practices into our routine care have resulted in dramatic increases in the success rates at our practice. A recent study reported a 97% increase in live birth rates using this protocol, without SET, rather than the older practice of day 3 or day 5 fresh transfers. Although SET was not used throughout this study, the chance of pregnancy per embryo transferred was more than double with PGT-A and freeze-all compared with cycles without PGT-A.
It should be noted, however, that not all studies have shown this degree of impact.

  • PGT-A: involves the selection of only genetically normal embryos for transfer, increasing implantation rates and markedly reducing miscarriage rates. It also allows for family balancing for eligible patients (patients with one child desiring another child of the opposite gender).
  • Freeze all cycles: This refers to the practice in IVF of freezing (vitrifying, or cryopreserving) all appropriate blastocysts (embryos) on Day 5/7 and transferring them in a subsequent frozen embryo transfer (FET) cycle.
  • Single embryo transfer (SET): SET has been an option for years, and while the benefits of it (safer, reduced chance of multiples) are real, its use most often would result in a decreased pregnancy rates and, as such, patients would still elect to transfer more than one embryo in order to increase their chances of a successful cycle. The advent of PGT-A has changed that. Now we can offer SET, and achieve very high pregnancy rates and a much safer, healthier pregnancy and outcome.

Results that speak for themselves

With this approach, we can transfer a single normal embryo and expect pregnancy rates that are better than most clinics can achieve with transfer of 2 or even 3 embryos. The miscarriage rate is markedly lower, and the chances of a healthy full-term pregnancy are higher.

Our IVF process, broken down step-by-step

To achieve pregnancy as a result of IVF, several steps are necessary. Each one of them will be described in detail to help you better understand the treatment as it will occur.

1. Hormonal suppression or ‘down-regulation’ of your menstrual cycle with birth control pills or other drugs

This process allows us to take charge of your ovaries so that there is no follicular growth occurring at all, and helps to synchronize your follicles to allow multiple eggs to develop at once.  Depending on the medications used, there is a chance you will temporarily undergo some of the symptoms of menopause, but these symptoms will go away during the stimulation phase.  This will then make sure that during the next stage of the treatment we have full control of the stimulation.

2. Stimulation of the ovaries to produce several eggs

During this phase of your treatment cycle you need to continue the drugs that ‘switch off’ your bodies own control of your ovaries and also start taking medication that will stimulate them.  The reason for continuing the suppression medications is to stop the chance of you ovulating before we get to the egg retrieval, so it is very important that you keep taking those drugs.  The stimulation is carefully controlled to allow for the most optimal follicle recruitment possible – the dosage is decided based on all of the workup that you did before starting the cycle.

You will be monitored during this phase of your treatment to make sure that you are responding appropriately by doing blood draws to check your estradiol levels and by vaginal ultrasound scans to measure the follicle sizes.  There are times when we either increase or decrease the drug dosage depending on what we see, and you will be informed accordingly.

It is very important that you continue to follow your calendar very closely during this period and to follow any and all changes that we may make depending on your response.  You will need to make sure that you are flexible to allow for appointments at short notice and that you are available via phone each day.

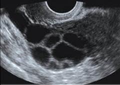
An ultrasound image of stimulated ovary with multiple follicles visible (dark spots)

3. Retrieval of the eggs from the ovaries

Once it has been determined that your follicular growth is optimal then we will schedule your egg retrieval.  This is achieved by the administration of a carefully timed ‘trigger shot’ that allows for the final maturation of the follicles and readies the eggs for release.  The exact nature of the shot depends on your response to stimulation and you will be given full instructions at the time.  You will be given a precise time for the trigger and it is very important that you stick with this time.

You will be under deep sedation anesthesia for the egg retrieval procedure, under the care of an MD anesthesiologist. The anesthesiologist will keep you asleep for the procedure. You will be given instructions as to when we need you to arrive at the clinic and how to prepare for the case.

The retrieval itself utilizes the same vaginal probe ultrasound that was used during the monitoring phase of treatment but with a guide attached to it.  That guide allows a needle to be passed through the back of the vagina and into the ovary under direct visualization.  The needle itself allows both the contents of the follicle to be aspirated and then media to be pushed back into the follicle to ‘rinse it out’.  Then the fluid is passed to the embryologist in order to look for the egg.  They are very visible within the fluid from the follicle, and they can be separated and placed into culture media.

This step also utilizes the IVF Witness RFID tagging system which allows us to allocate your name to the tag that has been placed on the dish for chain-of-custody monitoring of the identity of all samples. This ensures that the right eggs, sperm, and embryos are used for every procedure we do.

A diagram depicting the egg retrieval process during IVF

4. Fertilization of the eggs and cultivation of the embryos in the laboratory

Once we get the eggs back into the laboratory they are placed into new culture media and are placed into the incubator.  We also need to process the sperm sample that we are going to be using for the insemination later that day.  We can either use a sperm sample from the male partner, if applicable and medically suitable, or donor sperm. Regardless of the source, the sample will be processed to remove all the seminal plasma and to concentrate the motile sperm.  We can use both fresh or frozen sperm, however, the freezing process is quite harmful to sperm so we always encourage the use of a fresh sample whenever possible.

The insemination procedure is carried out during the afternoon – timed to take place 6-8 hours after the scheduled retrieval start time.  There are two different methods that can be used to inseminate the eggs, and the decision of which to use is dependent on the quality of the semen sample and also the couple’s history.  For the most part, we will have made the decision prior to the cycle as to which method we will be using, either conventional IVF when the sperm is simply added to the dish with the eggs, or intracytoplasmic sperm injection (ICSI) where individual sperm are injected into each egg.

The morning after the egg retrieval (Day 1) is when we check the eggs to see which ones have fertilized, and you will be given a call that morning to update you about the status.  After this point the embryos are left in the incubator, evaluated at specific times and moved into fresh culture media as their developmental requirements change.

The embryos will be grown in the incubators until day 5, 6, or 7 of development. The length of time can vary depending on how fast the embryos develop. This allows biology to filter out which embryos are more likely to be normal. In other words, a higher proportion of day 5, 6, or 7 embryos will go on to be a successful pregnancy than earlier stage embryos.

A fertilized embryo

Frequently asked questions about IVF

When during IVF is it possible to get pregnant naturally?

It’s unlikely but possible for an egg to fertilize naturally during an IVF cycle – we remove most of the eggs from the follicles in your ovaries at the time of egg retrieval but a small number of eggs could remain in or around the ovaries. For this reason egg donors need to abstain from intercourse during their treatment until advised that it’s safe to resume.

Yes, but natural cycle IVF (no fertility drugs) where only one egg is typically obtained or ‘minimal stimulation IVF’ with Clomid or low-dose fertility shots has much lower chances of success compared with ‘conventional IVF’ with higher doses of injectable medications when we are aiming to obtain multiple eggs. Costs are lower and the risk of multiple pregnancies is lower but the results are worse. More eggs give us a higher chance of having high-quality embryos from which to choose the best ones to transfer back into you.

IVF can be combined with Preimplantation Genetic Diagnosis (PGD) where we test one or more cells from each developing embryo. PGD can be used for most single gene disorders (diseases caused by one gene) such as cystic fibrosis, Huntington’s, polycystic kidney disease, etc. We can also test for chromosome rearrangements like translocations, or testing embryos for genetic ‘normality’ (sometimes called Comprehensive Chromosome Screening or CCS). PGD can be performed for family balancing for couples who have at least one child and desire a child of the opposite gender. PGD cannot be used to select height or any other physical characteristic or intelligence and should not be used to select eye color or other appearance traits.

Most couples who are trying to conceive without success don’t need In IVF or ICSI – if cheaper and easier treatment is appropriate we try other things first. Sometimes IVF is the right answer: if inseminations aren’t working for severe disease of the fallopian tubes or diminished ovarian reserve (low egg supply) or for severe sperm problems needing ICSI. See a Reproductive Endocrinology and Infertility (REI) specialist for testing and for treatment options.

Absolutely, having blocked tubes is the reason IVF was invented. IVF is often a better approach than a surgical tubal ligation reversal. See a specialist (Reproductive Endocrinology and Infertility or REI MD) who offers both options to assess your individual situation. A basic workup includes checking your partner’s sperm (Semen Analysis) even if he’s the father of your kids and checking your egg supply or ovarian reserve.

Typically one to three fresh IVF cycles, but your age and ovarian reserve (egg supply) are obviously major factors. In general, the best results with IVF are up to age 40. Success rates drop each year after 40 and are very low by age 45, using your own eggs. If you have embryos to freeze with a fresh IVF cycle, it can increase your chances of success and lower the number of fresh cycles that you need. Egg donation has high success rates at any age.

IVF involves around 8-12 days of fertility injections. Typically there is some discomfort from the shots, which usually go in under the skin in your stomach area, similar to diabetics taking insulin shots. During this time your ovaries get bigger and you may feel bloated or uncomfortable – most women don’t feel like jogging or heavy exercise at this time. You should be asleep, or very deeply sedated, during the egg retrieval procedure itself, where eggs are removed from your ovaries under ultrasound guidance by placing a needle through the vaginal wall. After this procedure your ovaries may be sore for a day or two and you may take some pain medicine.

Before embryos are put back into your uterus, usually 3 to 5 days after the egg retrieval, some clinics put you in intramuscular progesterone shots, which are shots that go in your buttocks – most women have their husband or partner give these shots, which can be mildly painful. Other clinics use vaginal progesterone instead which is a more comfortable option. Putting embryos back inside your uterus, or embryo transfer, is painless but you have a medium full bladder, and many clinics give you something to help you relax for this procedure.

So, not very painful but some discomfort and mild pain is possible. Talk to your fertility clinic about your concerns, too.

Yes, it’s possible, but the chances of success are low if we use the woman’s own eggs. At age 45 the pregnancy rate with IVF treatment is around 1 in 100 or 1%, and miscarriages are more common in this age group, so the live birth rate is less than 1%.

A woman over 45 is much better off with IVF using an egg donor. Pregnancy and live birth rates vary from clinic to clinic, and with using fresh donor eggs or frozen donor eggs. In our practice we aim for at least a 75% success rate with fresh donor eggs, and we have been into the 80’s success rate for the last three years.

You should also check with your own clinic, as some have age cutoffs for IVF with your own eggs, such as not allowing IVF with your own eggs over age 43, or over age 45.

There is always a chance of twins with any pregnancy, but most of our IVF pregnancies are a single baby. The risk of twins is affected by how many embryos are transferred into your uterus, your age, the stage of the embryos (day 5 or 6 blastocyst-stage embryos are more likely to implant than day 2 or 3 cleavage-stage embryos), and the quality of the embryos. If you are under 35 with high quality embryos, there is about a 40% chance of twins if two embryos are transferred, and less than a 5% chance of twins with one embryo transferred – a single embryo can split into identical twins. Blastocysts are more likely to split.

Identical twins from IVF is a rare event. Most twins from IVF are non-identical, from two different embryos. Here at Overlake Reproductive Health, we only implant one healthy embryo at a time limiting the risk of multiples. Not all pregnancies that start as twins end as twins – some twin pregnancies result in miscarriage of one twin and survival of the other one so that you end up with a single baby.

Single Embryo Transfer (SET) is preferable because one baby at a time is safer for all involved. Other IVF clinics implant multiple embryos at a time to increase their IVF success rates. We use PGT to genetically test each embryo before we insert it which limits the chance of early miscarriage. So even though we insert one embryo per cycle, our success rates are among the highest in the country. Plus, because our embryos are frozen, if one cycle does not result in a pregnancy, you can insert a second embryo in a following month.

Talk to your MD about your concerns regarding twins and together you can decide the right number of embryos to transfer. They can give you specific guidance as they know your individual situation. We put our patient’s health first so the risk of twins with our IVF process is extremely low.

Learn more about IVF at CCRM Seattle

IVF offers hope for couples who might not be able to conceive through natural means alone. Technological advancements and constantly improving techniques continue to make IVF a safer, simpler, and more successful procedure. You can read more about our world-class IVF success rates. If you would like to learn more about IVF or want to discuss your options with one of our highly trained fertility specialists please contact us.

CCRM Fertility of Seattle

11232 NE 15th St #201
Bellevue, WA 98004

Phone: (425) 646-4700
Fax: (425) 646-1076

Hours

Monday-Wednesday: 9:00am – 5:00pm
Thursday-Friday: 9:00am – 4:30pm

Weekends: 9:00am – 12:00pm